Difetto genetico alla base dell’atassia. Studio finanziato da Telethon
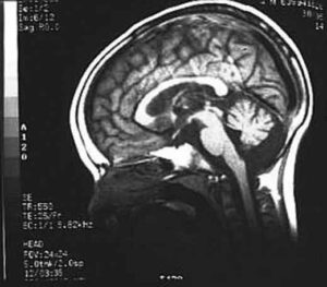
Identificato il difetto genetico responsabile di una particolare forma genetica di atassia, la SCA28. Il termine atassia deriva dal greco...
Notizie scientifiche in tempo reale
Identificato il difetto genetico responsabile di una particolare forma genetica di atassia, la SCA28. Il termine atassia deriva dal greco...