Tumore alla vescica: un nuovo test dalle urine
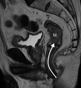
Si potra' diagnosticare il tumore della vescica con un semplice test delle urine, invece che con l'invasiva cistoscopia.Il test e'...
Notizie scientifiche in tempo reale
Si potra' diagnosticare il tumore della vescica con un semplice test delle urine, invece che con l'invasiva cistoscopia.Il test e'...