Radiologia interventistica: aumentano gli interventi che sostituiscono il bisturi
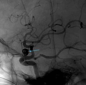
Le sale operatorie stanno dicendo sempre piu' addio al bisturi, in favore di stent, sonde e 'palloncini' in grado di...
Notizie scientifiche in tempo reale
Le sale operatorie stanno dicendo sempre piu' addio al bisturi, in favore di stent, sonde e 'palloncini' in grado di...