Lupus: scoperto un interruttore genetico che lo esaspera
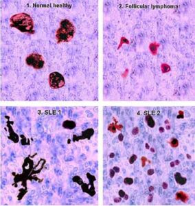
Scoperto da ricercatori della Facolta' di Medicina e chirurgia dell'Universita' Cattolica di Roma un interruttore genetico che rende ancora piu'...
Notizie scientifiche in tempo reale
Scoperto da ricercatori della Facolta' di Medicina e chirurgia dell'Universita' Cattolica di Roma un interruttore genetico che rende ancora piu'...