Descritta una nuova rara malattia neurologica
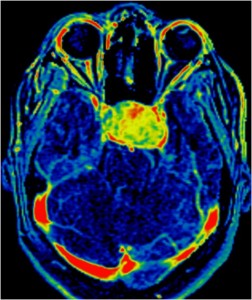
Sebbene non abbia ancora un nome, una rara malattia neurologica che ha colpito i bambini di due grandi famiglie del...
Notizie scientifiche in tempo reale
Sebbene non abbia ancora un nome, una rara malattia neurologica che ha colpito i bambini di due grandi famiglie del...