Morbo di Creutzfeldt-Jakob: l’Ist. di Neuroscienze del CNR rivela una proteina marker del morbo
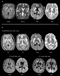
Uno studio dell'Istituto di scienze neurologiche del Cnr, pubblicato su Arch Neurol, rivela una proteina, la timosina beta 4, quale...
Uno studio dell'Istituto di scienze neurologiche del Cnr, pubblicato su Arch Neurol, rivela una proteina, la timosina beta 4, quale...
La timosina alfa 1, con la sua azione stimolante sulle cellule del sistema immunitario, dimostrata da numerose ricerche, può certamente...