Morbo di Paget: individuati tre nuovi geni responsabili
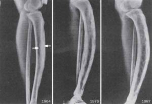
Roma, 31 mag – Individuati tre nuovi geni ritenuti responsabili del Morbo di Paget (nota anche come osteite deformante), un’infiammazione cronica che porta dolore e deformazioni delle ossa e che colpisce una persona su 20 una volta superati i 55 anni di eta’.

Dallo studio, realizzato da un gruppo di ricercatori della University of Western Australia, e’ anche emerso gli stessi geni potrebbero essere connessi allo sviluppo di altre patologie ossee, come osteoporosi e tumore.
I ricercatori hanno esaminato il profilo genetico di 2.215 pazienti affetti dalla patologia appartenenti a sette diverse nazionalita’ e di 4370 soggetti sani, rilevando la presenza dei tre geni nei soggetti affetti dalla patologia ossea di Paget. La ricerca e’ stata condotta all’interno di uno studio piu’ ampio sulla patologia, il ”Paget Research Group of Western Australia”.