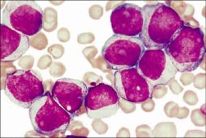
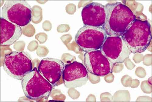
Leucemia: sale il rischio nei bimbi con genitori fumatori
Uno studio australiano ha rilevato che i bambini i cui padri fumavano al momento del concepimento hanno un rischio maggiorato almeno del 15 per cento di sviluppare la forma piu’ comune di cancro infantile, la leucemia linfoblastica acuta (LLA).
E sebbene lo studio, pubblicato sul Journal of Epidemiology, individui anche altri fattori di rischio, esso arriva a conclusioni che sono sulla stessa linea di ricerche precedenti. Anche se e’ il piu’ comune cancro infantile, questo tipo di leucemia e’ ancora rara e colpisce 3/5 bambini ogni 100mila.
I ricercatori hanno esaminato le famiglie di quasi 300 bambini affetti da LLA, chiedendo le abitudine parentali riguardo al fumo; e hanno confrontato i dati con quelli raccolti tra 800 bambini sani e di eta’ simile. Dallo studio risulta che il comportamento della madre non aumenta il fattore di rischio, al contrario di quello del padre; e i bambini i cui padri fumavano almeno 20 sigarette al giorno al momento del concepimento hanno un rischio che aumenta del 44 per cento. “L’importanza dell’esposizione al tabacco e il rapporto con i tumori infantili e’ stato trascurato fino a poco tempo fa”, ha commentato Patricia Buffler, docente presso l’University of California, Berkeley, che non ha partecipato allo studio: poiche’ il tabacco e’ pieno di tossine, tra cui anche sostanze cancerogene, non e’ improbabile che produca danni nelle cellule che producono lo sperma. Secondo la Buffler, comunque lo studio non prova che il danno nel Dna dello sperma causi la leucemia in eta’ pediatrica, perche’ la malattia e’ probabilmente legata a una molteciplita’ di fattori (tra cui le radiazioni ionizzanti, i raggi X e l’esposizione della madre a pitture e pesticidi durante la gravidanza).
