Arresti cardiaci: possibile prevenzione improvvisi da analisi DNA
Dal Portogallo arriva una nuova tecnica di sequenziamento del Dna, il microchip Dna, che permettera' di prevenire gli arresti cardiaci...
Dal Portogallo arriva una nuova tecnica di sequenziamento del Dna, il microchip Dna, che permettera' di prevenire gli arresti cardiaci...
Sull'American Journal of Human Genetics sono stati recentemente pubblicati i risultati di una ricerca, condotta dal gruppo di Neurogenetica Molecolare...
La cosiddetta cardiomiopatia periparto, che si verifica poco prima e poco dopo il parto, pare abbia la sua origine in...
Il sildenafil, usato per l'impotenza, cura la cardiomiopatia diabetica che porta allo scompenso cardiaco. La sperimentazione su pazienti con diabete...
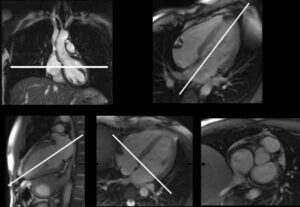
Cardiomiopatia da stress: subdola e più diffusa del previsto La risonanza magnetica mostra una sofferenza cardiaca anche in assenza di...
L'operazione all'ospedale San Camillo di Roma. E' la prima volta in Italia. L'intervento su un uomo di 40 anni che...