Si può vivere con un solo emisfero
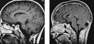
Ha due anni e uno sviluppo emotivo, comportamentale e sociale nella norma. Eppure presenta una grande cisti porencefalica nell'emisfero sinistro,...
Notizie scientifiche in tempo reale
Ha due anni e uno sviluppo emotivo, comportamentale e sociale nella norma. Eppure presenta una grande cisti porencefalica nell'emisfero sinistro,...