Si può vivere con un solo emisfero

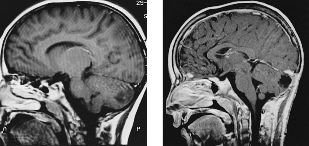
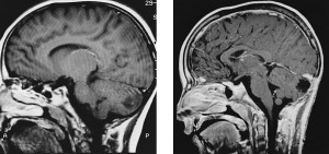
Ha due anni e uno sviluppo emotivo, comportamentale e sociale nella norma. Eppure presenta una grande cisti porencefalica nell’emisfero sinistro, con estensione nei lobi frontale, temporale e occipitale. Pubblicato ieri su The New England Journal of Medicine, una delle riviste scientifiche più accreditate (IF: 50), uno studio dell’IRCCS “E. Medea” di Ostuni.
“Living with one hemisphere” si può, nel vero senso della parola. Si tratta del caso di una bambina di due anni che viene segnalata all’IRCCS “E. Medea” – La Nostra Famiglia di Ostuni per difficoltà nell’uso di una mano e difficoltà nel cammino. I risultati ottenuti attraverso una serie di valutazioni delineano un funzionamento emotivo, comportamentale e sociale nella norma, con lievi difficoltà che riguardano il linguaggio e la manualità. Un funzionamento che, tutto sommato, lasciava presupporre possibili, lievi anomalie nello sviluppo cerebrale.
Le immagini di risonanza magnetica encefalica e angio risonanza cui la bambina viene sottoposta mostrano una realtà molto differente: non si tratta di lievi anomalie ma di una disfunzione che riguarda quasi un emisfero intero. La risonanza magnetica encefalica rivela infatti una grande cisti poroencefalica che coinvolge praticamente tutto l’emisfero di sinistra con risparmio esclusivamente del nastro corticale in regione fronto-basale, temporale anteriore e temporale mesiale, talamo e nuclei della base. L’esame di angio risonanza dell’encefalo e dei vasi al collo evidenzia una brusca, netta riduzione di flusso sia dell’arteria cerebrale media sia dell’arteria cerebrale posteriore di sinistra e coesistente ipoplasia del tratto a1 dell’arteria cerebrale anteriore.
Nonostante il vistoso danno cerebrale, lo sviluppo neurologico è stato relativamente preservato: la paziente infatti presenta solo una lieve spasticità all’emisoma destro, un lieve disturbo dell’articolazione della parola e capacità di comprensione adeguate all’età.
Come dire: aspettarsi che una fabbrica continui a produrre manufatti nello stesso numero, nella stessa perfezione, nello stesso tempo, pur avendo a disposizione la metà dei suoi soliti operai. Perché, di fatto, la bambina con un solo emisfero ha avuto uno sviluppo neuromotorio che l’ha portata a vivere in una maniera solo lievemente disfunzionale e, comunque, come nessuno di noi avrebbe potuto immaginare. Come? Probabilmente con un concetto di efficienza che non corrisponde al nostro. Perché l’altra parte del cervello e le zone del cervello sane hanno messo a disposizione tutte le risorse (neuroplasticità) per compensare quella malata o assente.
L’importante traguardo è stato raggiunto dal Polo Scientifico di Ostuni dell’IRCCS “E. Medea” e dall’Università di Bari: il dott. Antonio Trabacca, Direttore dell’Unità Operativa Complessa di Neuroriabilitazione 1 del Polo Ostuni, e la dott.ssa Franca Di Cuonzo dell’Unità Operativa di Neuroradiologia dell’Università degli Studi di Bari, lo hanno pubblicato oggi su una delle riviste scientifiche più accreditate (IF: 50) nel panorama sanitario internazionale: The New England Journal of Medicine.
La pubblicazione “Living with one hemisphere – A large porencephalic cyst” sottolinea il valore di un modo di fare ricerca in neuroriabilitazione che prevede l’utilizzo di tecniche innovative, quali il neuroimaging, che porta a risultati utili per la riflessione sui processi cerebrali che sottendono lo sviluppo neuropsicomotorio dell’uomo. Una modalità di fare ricerca che si sviluppa grazie ad un atteggiamento di curiosità scientifica che non si accontenta di ciò che osserva, ma che sul dato osservato si pone domande, formula ipotesi, le verifica, le riformula. “La ricerca applicata alla clinica – sottolinea il responsabile del lavoro dott. Antonio Trabacca – si gioca su un equilibrio difficile da mantenere: l’attenzione alla persona che ha il problema, al prendersi cura di lei, e l’attenzione ai processi sottostanti, ai deficit che potrebbero essere all’origine di quel problema stesso. Un tipo di ricerca, che arriva, a volte, ad un risultato come questo, incredibile sia da un punto di vista scientifico e, per chi sa leggerlo, anche da un punto di vista esistenziale”.
Trabacca A, Di Cuonzo F. Living with one hemisphere – A large porencephalic cyst. – N Engl J Med 361;16 October 15, 2009
Per ulteriori informazioni
Cristina Trombetti
Ufficio Stampa IRCCS “E. Medea” – Ass. La Nostra Famiglia
Via don Luigi Monza, 20 – 23842 – Bosisio Parini (Lc)
Tel. /Fax n 031.877.384 cell 339 2160292
http: //www.emedea.it – www.lanostrafamiglia.it