Morbo di Crohn: nei casi più gravi ottimi i risultati ottenuti con le cellule staminali
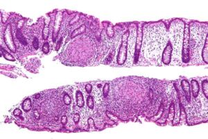
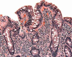
La malattia di Crohn è un’infiammazione cronica che può colpire qualunque tratto dell’apparato gastrointestinale, ma nel 90% dei casi interessa...
La malattia di Crohn è un’infiammazione cronica che può colpire qualunque tratto dell’apparato gastrointestinale, ma nel 90% dei casi interessa...
Un nuovo farmaco potrebbe portare un gran sollievo ai pazienti affetti dal morbo di Crohn, malattia infiammatoria cronica dell'intestino che...
Dopo essere stati infettati dall'Hiv, alcuni soccombono rapidamente al virus mentre altri sopravvivono per molti anni. Un nuovo studio, pubblicato...
Boom di ‘Mici’ tra i bambini. Le malattie infiammatorie croniche dell’intestino, colite ulcerosa e Crohn, colpiscono sempre prima con un...
Sono 200 mila gli italiani colpiti dalle malattie infiammatorie croniche intestinali (Mici), il 30-40% è affetto dalla malattia di Crohn....
I batteri intestinali, o microbiota, sono molto importanti per la salute e, nel caso di quelli buoni, pare possano aiutare...