Malattia di Chagas: un insetticida salverà le popolazioni boliviane
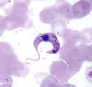
Un insetticida salvera' la popolazione boliviana dalla malattia di Chagas. La Bolivia ha i tassi piu' alti del mondo per...
Notizie scientifiche in tempo reale
Un insetticida salvera' la popolazione boliviana dalla malattia di Chagas. La Bolivia ha i tassi piu' alti del mondo per...