Malattia di Chagas: un insetticida salverà le popolazioni boliviane
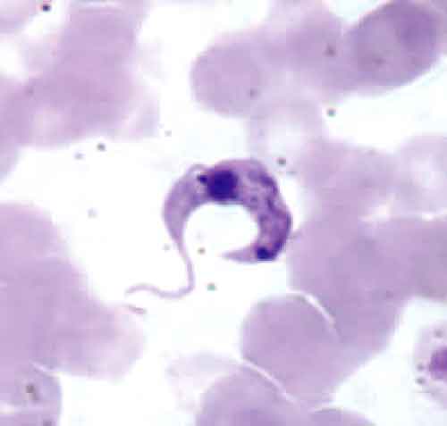
Un insetticida salvera’ la popolazione boliviana dalla malattia di Chagas. La Bolivia ha i tassi piu’ alti del mondo per la diffusione infettiva della patologia causata dal parassita Trypanosoma cruzi, che porta estrema letargia e compromissione della qualita’ della vita e talvolta fino alla morte.
Il vettore dell’infezione, conosciuto come la Vinchuca (Triatoma infestans), vive tra le pareti delle capanne e gli accumuli di fango e si nutre di animali da allevamento. Ma una ricerca promossa dalla scienziata spagnola Pilar Mateo dimostra che la fumigazione scadente e sporadica ha portato gli insetti a sviluppare una tolleranza ai pesticidi e propone come soluzione una nuova strategia insetticida, l’Inesfly 5A IGR.
Lo studio, pubblicato su Science, mostra un’efficacia da quattro a 20 volte maggiore rispetto alle applicazioni di pesticidi tradizionali, riducendo, grazie al confezionamento in microcapsule di agenti attivi, i rischi ambientali e tossici. Una buona notizia minata dalla lentezza dell’adozione di Inesfly perche’ manca l’approvazione dell’Organizzazione Mondiale della Sanita’.
