Encefalopatia da trauma: sviluppata una tecnica per individuarla
L'Encefalopatia traumatica cronica (CTE) e' stata fino ad oggi diagnosticata soltanto attraverso l'autopsia. La malattia, che colpisce molti giocatori di...
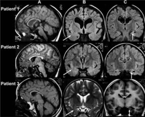
L'Encefalopatia traumatica cronica (CTE) e' stata fino ad oggi diagnosticata soltanto attraverso l'autopsia. La malattia, che colpisce molti giocatori di...