Anoressia: italiani spiegano perche’ malati si vedono sempre grassi
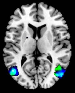
Meno materia grigia nelle aree del cervello coinvolte nella rappresentazione mentale di sé e nella manipolazione delle immagini. E' questa...
Notizie scientifiche in tempo reale
Meno materia grigia nelle aree del cervello coinvolte nella rappresentazione mentale di sé e nella manipolazione delle immagini. E' questa...