Anoressia: italiani spiegano perche’ malati si vedono sempre grassi

0
anoressia

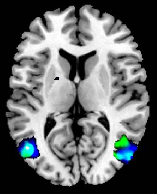
Meno materia grigia nelle aree del cervello coinvolte nella rappresentazione mentale di sé e nella manipolazione delle immagini. E’ questa carenza, stando a uno studio italiano pubblicato su ‘Psychiatry research: Neuroimaging’, a far sì che i malati alle prese con l’anoressia si vedano sempre grassi e fuori forma, anche se ormai il disturbo alimentare li ha ridotti pelle e ossa. La ricerca ‘made in Italy’ dimostra dunque, prove scientifiche alla mano, che c’è una base neurobiologica nella distorsione dell’immagine corporea, sintomo cardine dell’anoressia nervosa.

Tali alterazioni portate alla luce dagli italiani spiegano, in altre parole, perché chi è affetto da anoressia nervosa ha una percezione distorta del proprio corpo e teme di ingrassare anche quando è sottopeso o addirittura in uno stato di denutrizione. La scoperta è stata fatta da un gruppo di ricercatori italiani guidati da Santino Gaudio, medico psichiatra, impegnato in diversi progetti di ricerca con importanti ospedali della Penisola.

Per giungere a questo risultato, i ricercatori hanno confrontato la materia grigia di 16 adolescenti con anoressia, malati da meno di un anno, con quella di 16 teenager sani. Per farlo hanno utilizzato la risonanza magnetica e la nuova metodica di analisi della sostanza grigia nota, tra gli addetti ai lavori, come ‘Voxel Based Morphometry’. La scoperta dà un nuovo contributo alla comprensione dei meccanismi su cui poggia la malattia e apre la strada a nuove possibili strategie terapeutiche per metterla al tappeto.
(Adnkronos Salute) –

What do you feel about this?

Rispondi