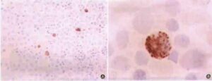
IL-18