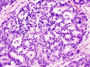
Tumori neuroendocrini: patologie rare, eterogenee e spesso silenti
10 novembre - giornata mondiale tumori neuroendocrini It.a.net è da sempre impegnata nella creazione di una rete, anche virtuale, che...
10 novembre - giornata mondiale tumori neuroendocrini It.a.net è da sempre impegnata nella creazione di una rete, anche virtuale, che...
L'allarme lanciato dagli oncologi: «Il fumatore aspira più profondamente le sigarette leggere» CHICAGO - È boom negli ultimi anni per...
La rivoluzione dei farmaci 'intelligenti' ha gia' portato a risultati incredibili nella cura delle leucemie, e nei prossimi anni grazie...
Persistente senso di nausea, vomito, inappetenza, un senso di insopportabile fatica sono solo alcuni sintomi di una molteplicita' di effetti...
L’epatocarcinoma è una patologia estremamente complessa, una sfida per medici e chirurghi epatologi, dalla diagnosi al trattamento. Il paziente epatopatico...