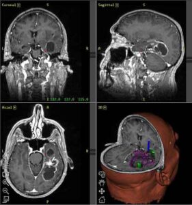
precursori