Scoliosi: falso mito quello del nuoto che fa bene, studi smentiscono.
La tesi che ribalta tutte le precedenti 'certezze' conclude un lavoro studio dell'Istituto scientifico italiano colonna vertebrale che sarà presentato...
La tesi che ribalta tutte le precedenti 'certezze' conclude un lavoro studio dell'Istituto scientifico italiano colonna vertebrale che sarà presentato...
Migliorare il rapporto di fiducia fra medico e paziente e raccogliere dati reali che possano facilitare l'uso del corsetto. Questo...
La cura della scoliosi non passa solo per i ferri del chirurgo. Nei prossimi giorni un nuovo studio dell’Isico (Istituto...
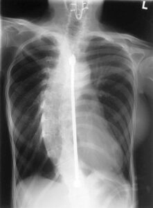
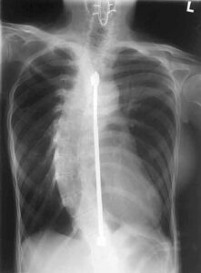
Presso l’Ospedale Ulss n.4 "Alto Vicentino” di Schio, centro d’eccellenza nella chirurgia vertebrale per il Nord Italia, il Prof. Massimo...
Comunicato Stampa Presso L’Ospedale I.R.C.C.S. “Casa del Sollievo della Sofferenza” di San Giovanni Rotondo, centro d’eccellenza nella chirurgia vertebrale per...