Da cellule epidermiche a cartilagine: passo importante per trapianti autologhi
Il risultato apre la strada a nuove applicazioni mediche come il trapianto autologo per la riparazione di danni al tessuto cartilagineo
In una sperimentazione sui topi, i ricercatori della Osaka University Graduate School of Medicine sono riusciti a prelevare fibroblasti isolati da pelle di individui adulti e a trasformarle in cellule pluripotenti indirizzandole verso la differenziazione in condrociti. Una volta iniettati nell’animale, questi sono poi andati a formare tessuto cartilagineo.

Secondo gli autori dell’articolo di resoconto apparso sulla rivista Journal of clinical investigation, il risultato potrebbe rappresentare il primo passo verso lo sviluppo di terapie per la riparazione dei danni alle cartilagini utilizzando il tessuto cutaneo dello stesso paziente.
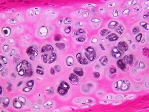
La cartilagine ialina è composta primariamente da condrociti e costituisce la matrice extrtracellulare, lo scheletro dell’embrione e negli adulti riveste le superfici articolari, dove ha la funzione di assorbimento degli urti e di lubrificazione delle superfici a contatto.
Le ferite di origine traumatica a carico delle cartilagini spesso danno luogo a tessuto fibrocartilagineo o anche a processi di formazione ossea che determinano deficit della crescita o a osteoartrite. Tuttavia la rigenerazione della cartilagine potrebbe essere possibile se i ricercatori potessero sviluppare un metodo per generare nuovi condrociti.