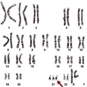
Stimolazione ovarica in età avanzata e casi di sindrome di Down
I farmaci per la stimolazione ovarica, utilizzati nelle donne in eta’ avanzata che si sottopongono alla fertilizzazione in vitro, possono aumentare il rischio di avere un bimbo con la sindrome di Down. 
I ricercatori britannici, che hanno presentato il loro lavoro al congresso annuale della Societa’ Europea di Embriologia e Riproduzione Umana, non sono ancora in grado di quantificare l’ampiezza del rischio, ma sostengono che, oltre alla sindrome di Down, tali farmaci potrebbero favorire anche altre malattie genetiche.
Infatti, secondo i ricercatori del Centro di fertilita’, Ginecologia e Genetica di Londra, utilizzare ormoni per stimolare le ovaie perche’ liberino il maggior numero di ovociti altera il delicato processo di duplicazione dei cromosomi, la cosiddetta meiosi; e questo puo’ portare ad anomalie nel numero dei cromosomi, provocando aborti o anche la nascita di un bebe’ con la sindrome di Down. Sono comunque necessari ulteriori approfondimenti per confermare il sospetto.