Sindrome Ring14: massimi esperti riuniti a Pollenzo di Bra
”Abbiamo raccolto intorno a un tavolo 18 tra i migliori esperti di diverse specialita’ come la genetica, la neuroscienza, la farmacologia e la biologia molecolare per dare alle famiglie risposte sui difetti del cromosoma 14 di cui, finora, si conosceva ben poco”.
Lo dice all’ASCA Stefania Azzali, presidente dell’Associazione Internazionale Ring14 – Aiuto e Ricerca per i Bambini affetti da Malattie Genetiche Rare, presentando il workshop ”On RING 14 Syndrome” in corso fino a domani a Pollenzo di Bra (Cuneo), organizzato per favorire il confronto tra i diversi saperi e ”creare un gruppo di lavoro internazionale che utilizzi le competenze di ogni esperto e valorizzi i filoni di ricerca piu’ promettenti”, spiega ancora Azzali.
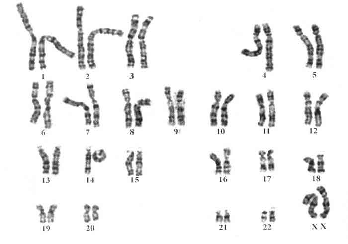
Con il nome Sindrome Ring14 si intende l’insieme di anomalie del cromosoma 14. Si tratta di un’alterazione a carico del cromosoma, che acquista una conformazione ad anello, in quanto le due estremita’ del braccio lungo e del braccio corto si fondono insieme. A questo si possono aggiungere altre anomalie, che provocano la perdita di ”informazioni” genetiche dando luogo a diversi disturbi: epilessia, deficit immunitari, problemi alla vista e alle vie respiratorie, ritardo mentale e del linguaggio. ”Abbiamo bisogno di un approccio multidisciplinare e di mettere le risorse a disposizione delle eccellenze e delle priorita’ – spiega ancora Azzali – e anche grazie a questo incontro vogliamo proseguire nella direzione della ricerca: dopo la creazione di una bio-banca con dati clinici dei pazienti e dei loro familiari – conclude -, vogliamo approfondire altri aspetti, come il ritardo nel linguaggio e lo studio dei tratti autistici”.
ASCA – Salute
