La PET regala le immagini del recupero della coscienza
Una nuova ricerca basata sulla tomogafia a emissione di positroni rivela che il recupero della coscienza dopo l’anestesia è associato all’attivazione di aree cerebrali profonde e filogeneticamente più antiche e non della più giovane e “moderna” corteccia cerebrale.
Prima dell’inizio dell’attività delle strutture di ordine più alto, deve quindi essere recuperato uno stato di coscienza primitivo e fondamentale, una scoperta che rappresenta un importante tassello per ricostruire il mosaico della coscienza e della consapevolezza di sé e del mondo circostante.
Il risveglio dall’anestesia è spesso associato a una fase iniziale di turbamento e di delirio prima del pieno recupero della coscienza e della consapevolezza dell’ambiente circostante. Utilizzando tecniche di imaging cerebrale su volontari sani, un team di ricercatori coordinati da Harry Scheinin, dell’Università di Turku, in Finlandia, in collaborazione con i colleghi dell’Università della California a Irvine, hanno ora scoperto il perché, evidenziando il processo di ritorno alla coscienza dopo l’anestesia generale. L’emergere della coscienza è infatti risultato associato all’attivazione di strutture cerebrali profonde e primitive anziché della neocorteccia, più giovane dal punto di vista evolutivo.
“Ci aspettavamo di vedere il ritorno all’attivazione della corteccia cerebrale, considerata la sede delle funzioni superiori, in corrispondenza del ritorno della coscienza dopo l’anestesia”, spiega Scheinin, che firma in proposito insieme ai colleghi un articolo sulla rivista “Journal of Neuroscience”. “Ma non è quello che ci hanno mostrato le immagini: in effetti, a recuperare la funzionalità sono le strutture più primitive, tra cui il talamo e parti del sistema limbico, indicando che, prima dell’inizio dell’attività delle strutture di ordine più alto, deve essere recuperato uno stato di coscienza primitivo e fondamentale ”.
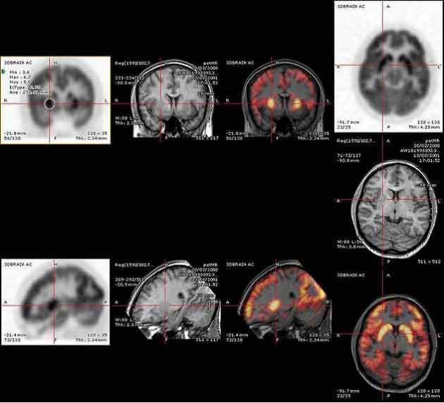
L’immagine PET mostra l’attivazione delle aree cerebrali coinvolte nel risveglio dall’anestesia. A sinistra, le sezioni sagittale (sopra) e assiale (sotto) mostrano l’attivazione della corteccia cingolata anteriore, del talamo e dell’area del locus coeruleus e del nucleo parabrachiale del tronco encefalico. A destra, le immagini dell’attivazione corticale non mostrano alcuna attivazione evidente.
Per arrivare a questa conclusione, sono stati sottoposti a scansione cerebrale 20 volontari anestetizzati con i farmaci dexmedetomidina o propofol. I soggetti venivano poi svegliati e i cambiamenti nell’attività cerebrale catturati in immagini mediante la tecnica di tomografia a emissione di positroni (PET).
Lo stato d’incoscienza indotto con la dexmedetomidina ha una stretta somiglianza con il sonno fisiologico normale, poiché può essere invertito con una debole stimolazione fisica o una forte stimolazione acustica senza richiedere alcuna variazione nel dosaggio del farmaco. Questa proprietà è stata essenziale cruciale per l’esperimento, poiché permette di separare le variazioni nell’attività cerebrale associate al cambiamento del livello di coscienza dagli effetti legati ai farmaci nel cervello.
In particolare, il ritorno della coscienza, valutato in base alla risposta motoria a un comando vocale, è risultato associato all’attivazione di un network di livello profondo che coinvolge le regioni subcorticale e limbica, le quali risultavano accoppiate dal punto di vista funzionale a parti della corteccia frontale e parietale inferiore subito dopo il risveglio dallo stato d’incoscienza indotto dalla dexmedetomidina. Il network permetteva quindi il recupero della coscienza soggettiva del mondo esterno e la capacità di esprimere con il comportamento i contesti della coscienza attraverso risposte volontarie.
Di grande interesse il fatto che le stesse strutture cerebrali profonde, ovvero il tronco encefalico, il talamo, l’ipotalamo e la corteccia cingolata anteriore, si attivassero per prime anche quando il soggetto usciva dall’anestesia da propofol, il che porta a ipotizzare un meccanismo di risveglio comune e indipendente dal farmaco: per entrambi i farmaci, l’attivazione osservata non appena recuperata la coscienza era localizzata in gran parte nelle strutture cerebrali profonde e filogeneticamente più antiche invece che nella neocorteccia.
L’attuale tecnologia di monitoraggio dell’anestesia si basa sull’elettroencefamogramma corticale, cioè sui segnali elettrici misurati sulla superficie dello scalpo che hanno origine sulla superficie della corteccia cerebrale: è per questo motivo che finora sono falliti i tentativi di differenziare gli stati di coscienza da quelli d’incoscienza e di spiegare perché la consapevolezza durante l’anestesia generale non sia mai stata rivelata.
I risultati presentati in quest’ultimo lavoro aggiungono importanti conoscenze sui meccanismi dell’anestesia e sulla natura della coscienza, aprendo inoltre la strada a miglioramenti nelle metodiche di anestetizzazione profonda. Tuttavia, rimane una questione di fondo: in che modo i meccanismi neurali creano la consapevolezza di sé?
