Infezione da HPV: si contrae anche senza sesso completo

0
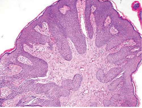
HPV_infezioni

Anche le ragazze che non hanno ancora avuto rapporti sessuali sono a rischio infezione da Hpv, il papillomavirus, e sono piu’ a rischio di quanto si pensasse finora. A dirlo e’ un nuovo studio del Cincinnati Children’s Hospital pubblicato sulla rivista “Archives of Pediatric & Adolescent Medicine”. Quella da Hpv e’ una infezione che e’ soprattutto passata attraverso rapporti vaginali o anali. Tuttavia, puo’ essere anche contratta mediante contatti genitale-genitale o manuale-genitale. Si tratta di una malattia di solito temporanea ma che puo’ causare anche cancro alla cervice. I ricercatori hanno coinvolto 259 ragazze di eta’ compresa fra 13 e 21 anni che fra il 2008 e il 2010 avevano ricevuto la prima vaccinazione contro l’Hpv. La maggior parte erano afro-americane (78 per cento).


Fra le ragazze sessualmente attive, il 70 per cento e’ risultata positiva all’Hpv. Delle 69 ragazze che non avevano ancora avuto rapporti sessuali, 8 sono risultate positive all’Hpv, due delle quali all’Hpv-16, il ceppo a piu’ alto rischio. “Una percentuale maggiore di quanto ci si aspettasse, probabilmente dovuta al fatto che le ragazze avevano avuto altri tipi di esposizione sessuale”, ha commentato Eduardo Franco, della McGill University, non coinvolto nello studio. (AGI) .

What do you feel about this?

Rispondi