Glioblastoma: probabile causa cellule adulte che tornano staminali indifferenziate

0
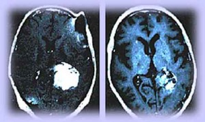
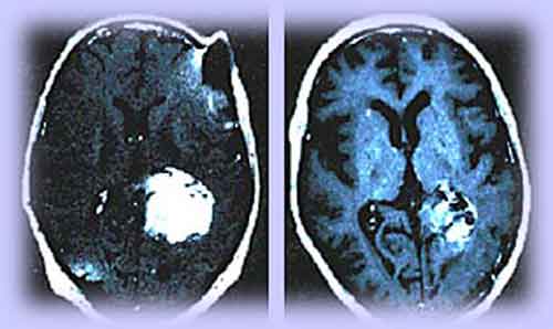
GlioblastomaMultiforme

Il glioblastoma multiforme, il piu’ comune e aggressivo tipo di tumore cerebrale, potrebbe nascere da cellule mature del cervello che sono ritornate al loro stato embrionale, indifferenziato.La ricerca del Salk Institute for Biological Studies di La Jolla e’ stata pubblicata sulla rivista ‘Science’. La sorprendente scoperta potrebbe avere implicazioni per il trattamento di questi tumori, dato che prevede che qualunque tessuto tumorale cellulare rimosso dalla chirurgia e dalla chemioterapia potrebbe potenzialmente rigenerare il tumore.

Precedenti modelli avevano suggerito che i tumori si generassero principalmente da cellule staminali neurali indifferenziate. Dinorah Friedmann-Morvinski e colleghi hanno mostrato ora che, nei topi, cellule neurali pienamente mature e differenziate possono trasformarsi in indifferenziate da geni oncogeni. Questi geni innescano cambiamenti genetici che rimandano la cellula matura indietro nel tempo, facendola tornare al stato indifferenziato, simile a quello di una cellula staminale. Questa condizione puo’ poi far partire e sostenere la crescita di un tumore.

Salute Aduc

What do you feel about this?

Rispondi