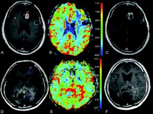
Glioblastoma: ricercatori italiani svelano il meccanismo di proliferazione
Regolano la crescita del cancro e potrebbero essere il bersaglio di nuove terapie Sono italiani i due esperti che hanno...
Regolano la crescita del cancro e potrebbero essere il bersaglio di nuove terapie Sono italiani i due esperti che hanno...
Un gruppo di ricercatori di Sapienza e dell Istituto Pasteur di Roma ha presentato i risultati di una ricerca che...
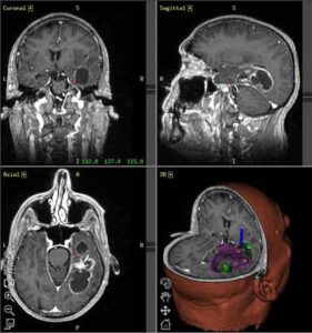
Lo ha utilizzato un ricercatore italiano, secondo cui si tratta della prima terapia intelligente e personalizzata sperimentata contro questo tumore...
Una terapia multipla sembra essere efficace nell'aumentare la sopravvivenza al glioblastoma, un grave tumore del cervello. L'esperimento, finora eseguito solo...
Gli scienziati, ‘bloccandola’ in provetta, sono riusciti a rendere il cancro più vulnerabile alle cure (altro…)
Identificata all'Istituto dei Tumori di Milano una molecola in grado di indurre il fenomeno in caso di carcinoma tiroideo I...