Scoperta la mutazione che causa la leucemia mieloide cronica atipica

0
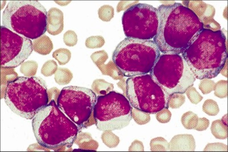
lmca

È indotta dal gene SETBP1 che subisce una mutazione nel 40 per cento dei pazienti affetti dalla malattia. Scoperta tutta italiana di un gruppo di ricercatori dell’Università di Milano-Bicocca pubblicata su Nature Genetics. La mutazione  è stata individuata nel Centro del Genoma dell’Ateneo.

Milano, 10 dicembre 2012 – I ricercatori del dipartimento di Scienze della Salute dell’Università di Milano-Bicocca hanno scoperto la mutazione del gene che causa la leucemia mieloide cronica atipica (aLMC), una malattia che colpisce ogni anno almeno 200 nuovi pazienti in Italia e per la quale non esistono attualmente terapie in grado di bloccarne l’esito.

Lo studio, realizzato da un gruppo coordinato da Carlo Gambacorti Passerini, professore associato di Medicina Interna presso la facoltà di Medicina e Chirurgia dell’Università di Milano-Bicocca, è stato appena pubblicato sulla rivista Nature Genetics e sarà presentato al congresso della Società Americana di Ematologia (ASH) domani 11 dicembre.

La scoperta, tutta italiana, è stata realizzata nel centro per il sequenziamento del genoma dell’Università di Milano-Bicocca, dove gli studiosi hanno individuato le mutazioni del geneSETBP1 in circa il 25-40% dei pazienti affetti da leucemia mieloide cronica atipica.

«Questo lavoro – dice Carlo Gambacorti Passerini, illustrando i risultati ottenuti – ci ha consentito di identificare per la prima volta mutazioni ricorrenti di un gene (SETBP1) in pazienti affetti da aLMC, e rappresenta la prima mutazione specifica rilevata in questa malattia».

I ricercatori dell’Università di Milano-Bicocca hanno anche identificato il meccanismo oncogenico delle mutazioni.

«Siamo stati colpiti in particolare da un aspetto. – racconta Rocco Piazza, altro ricercatore Bicocca, primo autore della pubblicazione – La quasi totalità delle mutazioni identificate era concentrata infatti su una piccolissima porzione del gene (immaginando il gene composto da 5.000 mattoncini, la mutazione si concentra solo su 12 di essi, tutti vicini tra loro): ricerche ulteriori ci hanno permesso di comprendere che l’effetto di queste mutazioni è quello di far accumulare alti livelli della proteina SETBP1, che non viene degradata fisiologicamente e che accumulandosi causa l’aumentata proliferazione delle cellule leucemiche».

 

«Le ripercussioni terapeutiche – conclude il professor Gambacorti Passerini – sono possibili ma non nel futuro prossimo. Sappiamo che il gene SETBP1 mutato nella aLMC altera la regolazione di una citochina nota come Transforming Growth Factor beta1 (o TGF-beta1), per la quale sono già disponibili inibitori specifici. Se le ricerche future, che col mio gruppo abbiamo già iniziato, confermeranno il ruolo di TGF-beta1, studi clinici potrebbero iniziare nel giro di 2-3 anni in pazienti affetti da aLMC o da altre neoplasie causate da mutazioni diSETBP1

 

Il gruppo di lavoro dell’Università di Milano-Bicocca guidato da Gambacorti Passerini, in passato ha contribuito significativamente agli studi che hanno portato all’impiego, straordinariamente efficace, della molecola imatinib nella cura di una malattia simile, la leucemia mieloide cronica.

 

La ricerca è stata realizzata anche grazie al sostegno dell’Associazione Italiana per la Ricerca sul Cancro (AIRC) e della Fondazione CARIPLO.

What do you feel about this?

Rispondi