Giornata mondiale “Cento città contro il dolore”: Grünenthal Italia, per il quarto anno, al fianco della Fondazione ISAL
Roma, 19 settembre 2014 – Per il quarto anno consecutivo – cioè sin dalla prima edizione – Grünenthal Italia conferma...
Roma, 19 settembre 2014 – Per il quarto anno consecutivo – cioè sin dalla prima edizione – Grünenthal Italia conferma...
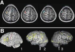
Uno studio, condotto utilizzando la risonanza magnetica funzionale, ha mostrato come due distinte regioni cerebrali che regolano le emozioni e...