La città che fa impazzire: occhio allo stress!
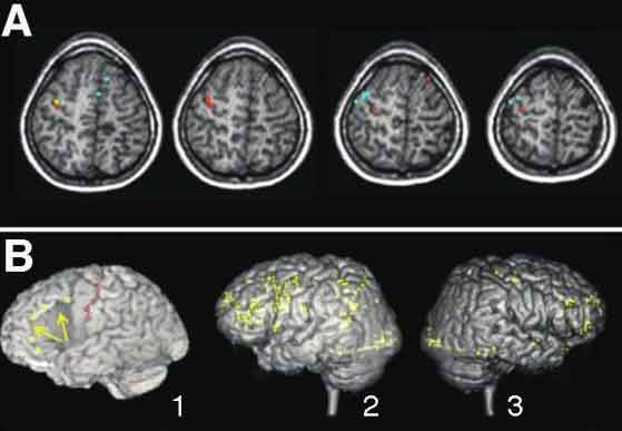
Uno studio, condotto utilizzando la risonanza magnetica funzionale, ha mostrato come due distinte regioni cerebrali che regolano le emozioni e lo stress vengano influenzate dalla vita in città

Nascere e crescere in una grande area urbana è un fattore di rischio per disturbi psicologici quali ansia e disturbi dell’umore nel corso della vita, ma finora non esisteva alcuno studio in grado di chiarire la biologia di questa correlazione.
Un nuovo studio internazionale guidato da Jens Pruessner del Douglas Mental Health University Institute colma ora questa lacuna, mostrando come due distinte regioni cerebrali che regolano le emozioni e lo stress vengano influenzate dalla vita in città.
“Precedenti studi avevano mostrato come il rischio di ansia è del 21 per cento maggiore per le persone che vivono in città, che hanno anche un rischio di disturbi dell’umore maggiore del 39 per cento”, ha spiegato Pruessner. “Oltre a ciò, l’incidenza della schizofrenia è quasi doppia nella popolazione nata e cresciuta in città. Si tratta di cifre che destano preoccupazione e la determinazione della biologia sottesa al disturbo è il primo passo per porre rimedio a questo trend”.
Pruessner e colleghi hanno studiato – grazie al protocollo “Montreal Imaging Stress Task” (MIST) da loro stessi sviluppato e basato sulla tecnica di risonanza magnetica funzionale – l’attività cerebrale di un gruppo di volontari in salute vissuti in aree sia urbane sia rurali.
L’analisi dei dati raccolti ha mostrato come la vita in città fosse associata a una più intensa risposta di stress dell’amigdala, un’area del cervello coinvolta nella regolazione emotiva e nell’umore. Inoltre, l’essere cresciuti in un contesto urbano è risultato associato all’attività della corteccia cingolata, una regione coinvolta nella regolazione degli stati affettivi negativi e dello stress.
“Questi risultati suggeriscono come differenti regioni cerebrali siano sensibili all’esperienza di vivere in città per diversi periodi nel corso della vita”, ha concluso Pruessner. “Occorreranno ulteriori studi per chiarire la correlazione tra psicopatologia e stati affettivi in soggetti con disturbi mentali e salute in generale. Questi risultati contribuiscono a migliorare la nostra comprensione dell’ambiente urbano come fattore di rischio per i disturbi mentali e la salute in generale. Oltre a ciò, si tratta di un punto di partenza per arrivare a un nuovo modello dell’interfaccia tra sicenze sociali, neuroscienze e politiche sociali per rispondere ai problemi sanitari connessi ai fenomeni di urbanizzazione”.