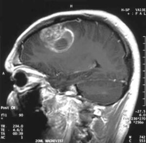
Glioblastoma: una molecola offre ottimi risultati nel trattamento del tumore
Una semplice molecola, simile strutturalmente all'aceto, sembra funzionare nel trattamento del glioblastoma, un tumore del cervello. (altro…)
Una semplice molecola, simile strutturalmente all'aceto, sembra funzionare nel trattamento del glioblastoma, un tumore del cervello. (altro…)
La molecola nasce dalla combinazione tra il cisplatino, un comune farmaco antitumorale, e un altro composto, il dicloroacetato (DCA), che...