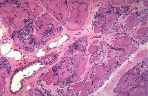
Distrofia di Duchenne: ridotto danno muscolare nei topi
La somministrazione di biglicano ha dimostrato di poter incrementare la resistenza strutturale del tessuto muscolare e di rallentarne la degenerazione...
La somministrazione di biglicano ha dimostrato di poter incrementare la resistenza strutturale del tessuto muscolare e di rallentarne la degenerazione...
E' possibile 'riparare' il gene responsabile della distrofia muscolare di Duchenne, rara malattia genetica che colpisce un maschio su 3.500....
Due importanti caratteristiche di un gene chiave nello sviluppo della malattia sono presenti in quasi tutte le specie di mammiferi,...