Distrofia di Duchenne: ridotto danno muscolare nei topi

La somministrazione di biglicano ha dimostrato di poter incrementare la resistenza strutturale del tessuto muscolare e di rallentarne la degenerazione in condizioni di stress.
Topi di laboratorio affetti da una forma di distrofia molto simile a quella umana trovano beneficio da una nuova terapia basata su una proteina prodotta fisiologicamente dal nostro organismo: è quanto reso noto in un articolo pubblicato sulla rivista Proceedings of the National Academy of Sciences da Justin Fallon, professore di neuroscienze presso la Brown University.
La distrofia muscolare di Duchenne è una patologia di origine genetica che colpisce un nuovo nato su circa 3500 ed è causata dalla mancanza di una proteina denominata distrofina, cruciale per dare sostegno strutturale ai muscoli.
Lo scorso autunno la società startup Tivorsan Pharmaceuticals ha cominciato a produrre su licenza della Brown una proteina che si trova nella matrice extracellulare, il biglicano, con la speranza di aprire una breccia nella difficile ricerca sui trattamenti farmacologici della distrofia.
Il biglicano ha dimostrato di poter indurre un recupero della resistenza strutturale del muscolo agendo su un’altra proteina chiamata utrofina, normalmente prodotta dall’organismo dei bambini molto piccoli.
In quest’ultimo esperimento il gruppo di Fallon ha dimostrato come il biglicano somministrato per via endovenosa nei topi riesca a portare l’utrofina alla membrane cellulari delle cellule muscolari nei feti e nei cuccioli appena nati, consentendo un recupero della forza muscolare.
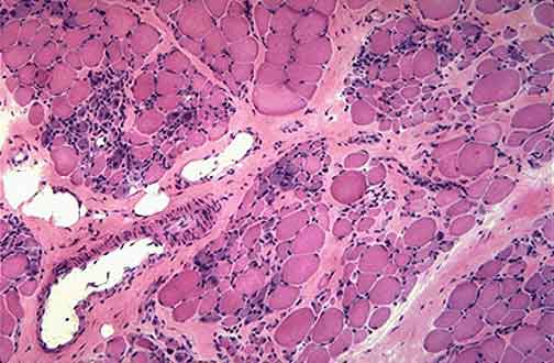
In particolare, a livello tissutale è stata riscontrata una riduzione del 50 per cento dei nuclei localizzati centralmente, nel tessuto muscolare nei topi trattati rispetto quelli non trattati. Secondo le attuali conoscenze, la presenza di tali nuclei è indicativa di un recente danno tissutale seguito da una cicatrizzazione: per questo, una riduzione suggerisce un minor danno a carico del muscolo.
Il ulteriori test standardizzati, i muscoli di topo sono stati sottoposti sia a una trazione sia a uno stimolo di contrazione, una procedura che porta infine all’indebolimento anche dei muscoli sani. In questo caso i muscoli di topi distrofici ma trattati con biglicano perdono forza a un ritmo rallentato del 30 per cento.
Il risultato positivo della sperimentazione animale dovrà ora essere confermato in ulteriori studi sull’essere umano, come sottolineato dallo stesso Fallon.