Piorrea: studi e scoperte verso cure definitive
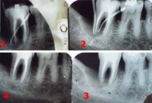
La struttura e il meccanismo d'azione del principale enzima responsabile della formazione della placca batterica che provoca la piorrea è...
La struttura e il meccanismo d'azione del principale enzima responsabile della formazione della placca batterica che provoca la piorrea è...
Presto si potra' dire addio alla fastidiosa placca dei denti e sfoggiare un sorriso perfetto. Un gruppo di ricercatori dell'universita'...