Terapia ormonale sostitutiva: ricercatori trovano prove coerenti sul collegamento col cancro al seno
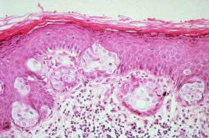
Un gruppo di ricercatori della McMaster University ha trovato prove coerenti sul collegamento tra la terapia ormonale sostitutiva (HRT) e...
Un gruppo di ricercatori della McMaster University ha trovato prove coerenti sul collegamento tra la terapia ormonale sostitutiva (HRT) e...
La terapia ormonale sostitutiva non e' poi cosi' sicura. Almeno secondo un gruppo di ricercatori dell'Universita' McMaster a Hamilton in...
Una sostanza contenuta nel prezzemolo e nel sedano è stata ritenuta in grado di bloccare le cellule tumorali del seno...
Circa il 10% di tutte le donne nel mondo sviluppa un tumore al seno nel corso della propria vita. Citando...