AMGEN ANNUNCIA I DATI CHE SARANNO PRESENTATI AL CONGRESSO ASH 2019
I risultati dello studio di fase III CANDOR – che valuta KYPROLIS (carfilzomib) in combinazione con DARZALEX (daratumumab) nei pazienti...
I risultati dello studio di fase III CANDOR – che valuta KYPROLIS (carfilzomib) in combinazione con DARZALEX (daratumumab) nei pazienti...
Beerse, Belgio, 28 giugno 2013 - Janssen ha annunciato oggi che il Comitato che valuta i Farmaci per Uso Umano...
A New Orleans (LA) nel corso del 51° congresso annuale dell’American Society of Hematology è stato annunciato che i dati...
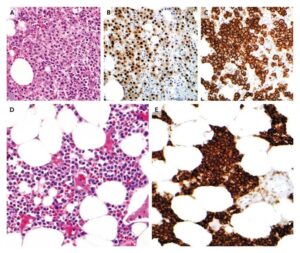
Dalla ricerca italiana nuove speranze contro il mieloma multiplo: un tumore del sangue che colpisce ogni anno circa 4.400 italiani,...
Il trapianto autologo di cellule staminali emopoietiche potra' diventare, in un futuro imminente, una opzione terapeutica disponibile anche per i...
Dai primi di settembre, Celgene ha attivato in Italia un Programma di Accesso Allargato della durata di 12 mesi aperto...