Mieloma multiplo: uno studio apre nuove prospettive per prognosi e diagnosi
Dalla ricerca italiana nuove speranze contro il mieloma multiplo: un tumore del sangue che colpisce ogni anno circa 4.400 italiani, 65enni in media ma a volte anche giovani under 50. Scienziati delle universita’ di Milano e Padova hanno ‘mappato’ la rete di segnali che a livello genetico innescano la malattia e ne controllano l’evoluzione.

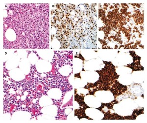
Lo studio, tutto ‘tricolore’ e pubblicato sulla rivista Blood, porta la firma del team milanese diretto da Antonino Neri dell’ateneo Statale e della Fondazione Policlinico, e dei colleghi padovani guidati da Stefania Bortoluzzi. Secondo gli autori, il lavoro “apre nuove prospettive per la prognosi e la diagnosi del mieloma multiplo”. Questo cancro nasce dalle plasmacellule del midollo osseo, ricordano i ricercatori in una nota. Il loro ruolo fisiologico e’ fondamentale nella risposta immunitaria dell’organismo, perche’ producono anticorpi per combattere le infezioni. Quando la loro crescita procede in maniera incontrollata come accade nel tumore, pero’, le plasmacellule si accumulano nel midollo e causano difetti di funzionamento del sistema immunitario, infezioni, anemia, degenerazione ossea e insufficienza renale. Come ogni altro tumore, anche il mieloma e’ caratterizzato dalla presenza di alterazioni del corredo genetico.
Alcune sembrano essere coinvolte nelle prime fasi della trasformazione tumorale, altre sono associate alla progressione della malattia in forme cliniche aggressive. Grazie a una tecnica di indagine sperimentale a largo spettro, utilizzata su campioni di plasmacellule maligne di pazienti con mieloma, “abbiamo analizzato l’espressione dei geni” in queste cellule e “in particolare – spiega Bortoluzzi, del Dipartimento di biologia dell’universita’ di Padova – ci siamo concentrati sullo studio dei microRna”, piccolissime sequenze genetiche scoperte “solo negli ultimi anni, che giocano un ruolo importante nella regolazione dell’espressione genica”. In altre parole, lo studio italiano ha ricostruito la prima rete regolativa del mieloma, creando un modello ingegneristico che riproduce il funzionamento delle cellule malate. “Con questa metodologia abbiamo individuato alcune decine di microRna in grado di discriminare tra diversi tipi di mieloma multiplo – sottolinea Neri, che si occupa da molti anni della di questo tumore – Capire quali sono i microRna e su quali geni agiscono ha un’importante rilevanza sia clinica sia diagnostica, tanto da configurare i microRna come nuovi possibili marcatori tumorali. Comprendere il ruolo dei microRna nella trasformazione tumorale puo’ aiutare ad individuare dei nuovi target terapeutici che consentano di colpire il tumore in maniera piu’ selettiva e mirata”, assicura.
Gli studi del team di Neri sono supportati da Associazione italiana ricerca sul cancro, Associazione italiana contro le leucemie, Miur e ministero della Salute. La ricerca a Padova, invece, e’ stata resa possibile principalmente dal sostegno dell’ateneo patavino e dal finanziamento di un progetto di eccellenza e di una borsa di dottorato grazie al contributo della Fondazione Cassa di Risparmio di Padova e Rovigo. Questo investimento, che ha permesso di costruire un gruppo capace di integrare competenze biomediche e ingegneristiche – conclude la nota – sta dando i suoi frutti nel campo della systems biology, ricerca di base applicata alla biomedicina.