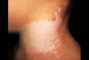
Vitiligine, sì dell’Aifa alla rimborsabilità della prima crema efficace
L'Agenzia Italiana del Farmaco (Aifa) ha appena approvato la rimborsabilità del primo e unico principio attivo che agisce direttamente sul...
L'Agenzia Italiana del Farmaco (Aifa) ha appena approvato la rimborsabilità del primo e unico principio attivo che agisce direttamente sul...
Ha funzionato la sperimentazione sui topi che hanno recuperato il 75 per cento della pigmentazione La vitiligine colpisce l’1-2 per...
Un enzima usato per la ripigmentazione Stavano studiando gli effetti di una cura per la vitiligine, hanno deciso di dirottare...
Arriva una nuova speranza di trattamento per chi soffre di vitiligine. Una ricerca della Loyola University Chicago ha sviluppato una...
Nessuna cura, tante cure. Per 1 milione di persone in Italia, l'1% circa della popolazione nel resto del mondo è...
Chi ha gli occhi azzurri ha un minor rischio di vitiligine, gli occhi marroni «proteggono» dal melanoma Due malattie della...