BSE: scoperta molecola chiave del processo patologico
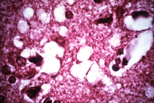
Tessuto colpito dalla BSE
Una proteina nota come glipicano-1 avrebbe un ruolo attivo nell’encefalopatia spongiforme bovina (BSE) – la malattia della “mucca pazza” – e della sua forma umana, la nuova variante del morbo di Creutzfeldt-Jakob (nvCJD).

La scoperta, che potrebbe portare allo sviluppo di nuovi trattamenti per arginare i devastanti effetti di questa patologia, è stata fatta da un gruppo di ricercatori dell’Università di Leeds che ne danno conto in un articolo pubblicato sulla rivista “PLoS Pathogens”.
La BSE è causata da un agente infettivo non convenzionale, una proteina modificata rispetto alla forma “non patologica”, la proteina prionica PrPc, fisiologicamente presente nelle cellule nervose.
La particolarità della forma anomala di questa proteina, o PrPsc (Prion Protein Scrapie), è quella di convertire nella forma anomalla le altre proteine PrPc con cui entra in contatto. Le PrPsc si accumulano quindi nei neuroni, danneggiandoli e provocando lesioni encefaliche, che appaiono all’esame microscopico come aree otticamente vuote e che ricordano appunto l’aspetto di una spugna.
“Stavamo osservando il funzionamento della proteina prionica normale nelle cellule e abbiamo osservato che interagiva con qualcosa. Siamo stati indotti a pensare al glipicano-1, e quando abbiamo condotto l’esperimento, abbiamo scoperto di avere ragione”, ha raccontato Nigel Hooper che ha diretto lo studio.
I ricercatori hanno mostrato che la presenza di glipicano-1 determina un aumento della presenza della proteina prionica anomala e che quando il livello di questa proteina veniva ridotto nelle cellule infette, diminuiva anche il livello di proteine prioniche anomale.
I ricercatori ipotizzano che il glipicano-1 agisca come una sorta di gabbia in grado di catturare e mettere in contatto le due forme di proteina prionica, quella normale e quella anomala, partecipando in questo modo alla trasformazione della prima nella forma infettiva.
“Ora che conosciamo l’identità di una delle molecole chiave del processo patologico, possiamo pensare alla possibilità di sviluppare farmaci che l’abbiano come proprio obiettivo”, ha osservato Hooper.