Sarcoma di Ewing: proteina chiave, nuovi bersagli terapeutici

Un gruppo di ricercatori dell’Istituto Ortopedico Rizzoli IRCCS di Bologna è riuscito a identificare il ruolo cruciale di una proteina, chiamata CD99, nello sviluppo del sarcoma di Ewing.
Il sarcoma di Ewing è un tumore dell’osso o delle parti molli la cui insorgenza si riscontra nel periodo compreso fra l’infanzia e l’inizio dell’età adulta, e rappresenta la seconda neoplasia dell’osso più frequente nell’età pediatrica. La sua origine cellulare non è ancora ben compresa, per quanto sembra che derivi da cellule del neuroectoderma alterate in vari livelli di differenziazione del tessuto originario.
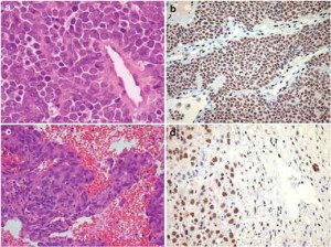
E’ noto che nella grande maggioranza dei casi si riscontra un forte aumento dell’espresione della proteina CD99, ma la sua funzione nell’eziopatogenesi e nello sviluppo della malattia non era finora conosciuta.
La scoperta, oggetto di un articolo publicato sulla rivista “Journal of Clinical Investigation” a prima firma Anna Rocchi, suggerisce la possibilità di assumere come nuovo bersaglio terapeutico per il trattamento della patologia la proteina CD99 o la sua via metabolica.
In particolare, in questo studio la diminuzione dell’espressione della proteina CD99 nelle linee cellulari umane ha mostrato di ridurre la loro capacità di svilupparsi in masse tumorali una volta trapiantate in topi di laboratorio. In vitro, essa tende ad aumentare l’espressione dei neurofilamenti H, un marcatore biologico della differenziazione neuronale. I ricercatori hanno anche osservato una correlazione inversa fra l’espressione della proteina CD99 e quella dei neurofilamenti, della differenziazione neurale e della trasformazione oncogenica è stata osservata in linee cellulari derivate da pazienti sofferenti della malattia. Da questi dati i ricercatori concludono che la CD99 previene la differenziazione neurale e che quella di interferire con la sua azione può rappresentare una nuova strategia terapeutica contro la patologia.