Cocktail di farmaci contro polipi intestinali

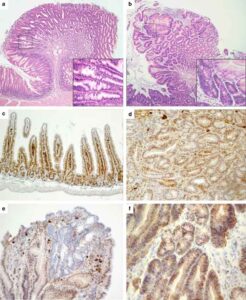
I farmaci sperimentati per ora solo sui topi dagli scienziati dell’Universita’ del Texas sono la vitamina A acetato e il Trail (acronimo per ‘legante che induce l’apoptosi’). I ricercatori hanno cercato di colpire il meccanismo che controlla la vita o la morte delle cellule dei polipi. Nelle cellule normali l’apoptosi, cioe’ la morte cellulare, avviene automaticamente, mentre nei polipi, cosi’ come nei tumori, e’ incontrollata. La combinazione dei due farmaci ha portato all’apoptosi del polipo nelle cavie trattate in misura quattro volte maggiore rispetto a quelle curate con uno solo dei farmaci.
———
ASCA
Eliminare i polipi intestinali con una combinazione di farmaci senza dover ricorrere alla chirurgia: è quanto si propone di fare un gruppo di studiosi statunitensi della Texas University che in uno studio pubblicato su Nature spiega che si può arrivare a contrastare fino a quattro volte la crescita dei polipi presenti nell’intestino, potenziali tumori del colon, attraverso la somministrazione di un mix di farmaci e senza dover far ricorso alla sala operatoria.
Il cancro al colon-retto, con i suoi 940 mila casi all’anno, è la terza tipologia di tumore più comune a livello mondiale dopo la neoplasia al polmone, con 1.2 milioni di nuovi casi annui e il cancro al seno, con oltre 1 milione di casi. I polipi intestinali non sono maligni, spiegano i ricercatori, ma, quando presenti, devono essere asportati chirurgicamente per evitare che si trasformino in neoplasie e chi ne soffre deve sottoporsi periodicamente a visite di controllo. Ora lo studio su Nature aggiunge un nuovo tassello alla cura anti-polipi senza chirurgia: nei test di laboratorio condotti sui topi gli esperti hanno messo in evidenza che la combinazione di due sostanze chimiche provoca l’apoptosi delle cellule del polipo senza intaccare i tessuti circostanti. I risultati ottenuti, spiegano i ricercatori, dovranno però essere ulteriormente confermati soprattutto per garantire l’assenza di effetti collaterali. La cura potrebbe rappresentare un passo in avanti per il trattamento soprattutto delle persone affette da una condizione chiamata poliposi adenomatosa familiare (FAP), che aumenta il rischio sia di polipi che di tumori a essi collegati.