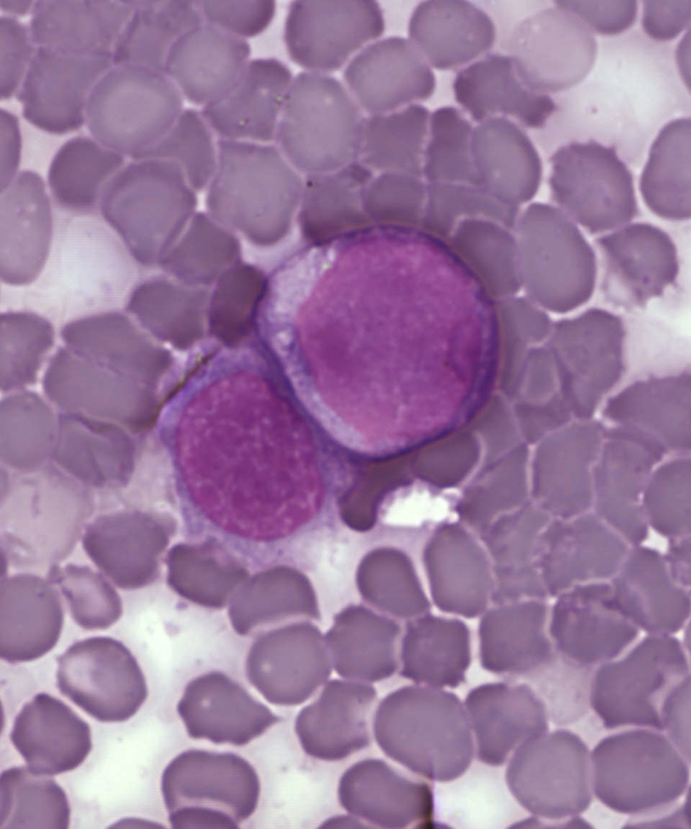
Leucemia: innumerevoli mutazioni dovute all’età, e non al cancro

0
Leukemia_cells

Centinaia di mutazioni si verificano nelle cellule di leucemia, ma avvengono casualmente a causa dell’eta’ e non sono dovute al cancro. Lo rivela una nuova ricerca della Washington University School of Medicine di St. Louis: anche negli individui sani, le staminali nel sangue accumulano costantemente nuove mutazioni nel corso della vita.

E in molti casi sono necessarie sono due o tre cambiamenti genetici per trasformare le cellule sanguinee gia’ mutate in leucemia mieloide acuta. “Finalmente abbiamo un’immagine precisa di come si sviluppa la leucemia, e l’influenza del normale invecchiamento cellulare”, ha spiegato Richard K. Wilson, ricercatore a capo dello studio pubblicato sulla rivista ‘Cell’. “Non sono centinaia le mutazioni necessarie ma soltanto alcune per paziente, che trasformano le cellule normali in cellule del cancro. Trovare le mutazioni specifiche ci aiutera’ a identificare i bersagli piu’ adatti al trattamento”.

What do you feel about this?

Rispondi