Medulloblastoma: scoperte le mutazioni di geni alla base della causa

0
medulloblastoma

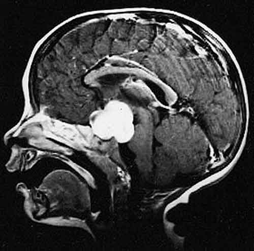
E’ la neoplasia cerebrale più frequente nei bambini. Uno studio fa luce sulle variazioni del Dna che lo causano
MILANO – Sono state identificate le mutazioni genetiche responsabili del medulloblastoma, il tumore maligno al cervello più frequente durante l’infanzia. Come spiegano i ricercatori americani della Stanford University e del Lucile Packard Children’s Hospital, nello studio pubblicato sulla rivistaNature , con questi risultati si potrà arrivare a cure meno tossiche e più efficaci nel giro di due anni. «Oggi si tende a trattare tutti i medulloblastomi come un’unica malattia – spiega Yoon-Jae Cho, coordinatore dello studio – senza considerare quanto siano diversi i tumori a livello molecolare. Con questa ricerca diamo una visione più accurata a livello genetico e apriamo la strada a nuove terapie».

MUTAZIONI GENETICHE – I trattamenti attuali per questo tipo di cancro, che ha origine dal cervelletto, comprendono l’intervento chirurgico e una combinazione di radio e chemioterapia, ma non sono «su misura» per le caratteristiche genetiche dei pazienti. I ricercatori Usa hanno estratto il Dna da 92 medulloblastomi mettendolo a confronto con i campioni di sangue degli stessi pazienti, scoprendo così 12 punti di mutazione significativi, cioè errori nel codice genetico che si verificano spesso in questo tipo di cancro cerebrale. Alcune di queste mutazioni erano già state identificate nel medulloblastoma, ma ora ne sono state individuate di nuove: «Adesso sappiamo che alcune forme di tumore hanno una particolare firma genetica – aggiunge Cho – che li rende resistenti alle terapie standard, per cui d’ora in poi potremo scegliere la cura più su misura per il profilo genetico del paziente. Potremo così ottenere risultati migliori e ridurre gli effetti collaterali». (Fonte Ansa)

What do you feel about this?

Rispondi