Ictus ischemico a tre anni: intervento innovativo mai eseguito su paziente così piccolo, perfetto.

0
Created with The GIMP

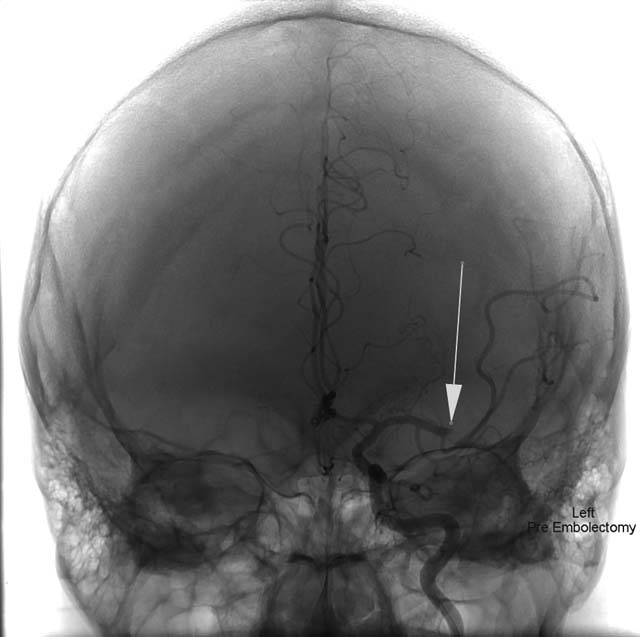
A tre anni e mezzo e’ stata colpita da un ictus ischemico ma e’ stata salvata dai medici con un intervento mai eseguito al mondo su un paziente cosi’ piccolo. Created with The GIMPLa storia a lieto fine arriva da Torino: martedi’ la piccola si sente male e i genitori originari del Bangladesh la portano all’ospedale Maria Vittoria.

In serata viene trasferita in condizioni disperate all’ospedale infantile Regina Margherita dove la dottoressa Gabriella Agnoletti, cardiologa, si accorge subito del problema: un’arteria basilare del cervello ostruita.
Immediatamente vengono chiamati i neurochirurghi delle Molinette e Mauro Bergui esegue una delicata trombectomia: entrando con un catetere venoso dall’inguine arriva fino al cervello dove rimuove il trombo e posiziona uno stent. Intervento riuscito: ora la bimba e’ sveglia, ha ripreso a parlare e a mangiare ed e’ ricoverata nel reparto di pediatria universitaria del Regina Margherita. Ha ancora qualche problema al lato destro del corpo ma i medici confidano che con la fisioterapia possa riprendersi completamente.

What do you feel about this?

Rispondi