Sindrome da delezione cromosoma 22: dedicato uno Studio OPBG
C’e’ una predominanza dell’origine materna nella comparsa ‘de novo’ della sindrome da delezione del cromosoma 22, una malattia rara che colpisce un bambino su 4000 e che si associa a malformazioni, a un maggior rischio di deficit cognitivo e di disturbi psicotici. E’ quanto emerso dallo studio multicentrico pubblicato sul prestigioso American Journal of Human Genetics. Promosso dal consorzio internazionale per la sindrome da delezione del cromosoma 22, il progetto di ricerca ha visto la partecipazione delle unita’ operative di genetica e neuropsichiatria dell’Ospedale Pediatrico Bambino Gesu’.

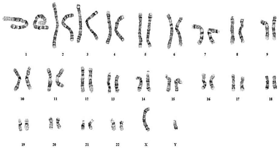
Lo studio si proponeva di verificare se esistesse un’origine parentale anche nelle mutazioni ‘de novo’ (cioe’ che vengono diagnosticate in un individuo e non risultano essere presente nel corredo genetico dei suoi genitori) responsabili della sindrome. Il risultato ha evidenziato che nel 56% dei casi, il cromosoma 22 che poi subisce la delezione proviene in origine dalla madre.
La sindrome da microdelezione del cromosoma 22 e’ una malattia rara caratterizzata dalla mancanza di un frammento (delezione) del cromosoma 22 che colpisce circa 1 bambino su 4.000 e che si manifesta con malformazioni cardiache, anomalie del palato, alterazioni del sistema immunitario o del metabolismo e particolari tratti del volto.
I bambini che ne sono affetti hanno soprattutto difficolta’ a gestire e ad accettare cambiamenti, hanno mutamenti di umore, di comportamento, iperattivita’ o estrema riservatezza, atteggiamenti di chiusura. E’ quindi essenziale riuscire a costruire un punto di contatto utilizzando il loro linguaggio per avvicinarsi in maniera empatica.
Per lo studio sono stati isolati 389 campioni di DNA da altrettante famiglie con un figlio affetto da 22q11DS. Il 56% ha presentato un’origine materna della mutazione de novo e il 44% un’origine paterna, evidenziando quindi un’associazione predominante con l’origine materna.
Il passo successivo sara’ quello di approfondire i meccanismi molecolari responsabili delle mutazioni de novo per riuscire a individuare i fattori causali delle malformazioni e dei disturbi psicotici. Per quanto riguarda quest’aspetto, il Bambino Gesu’ in collaborazione con gli altri centri di ricerca afferenti al consorzio internazionale, ha avviato un ambulatorio finalizzato alla prevenzione e allo studio dei disturbi psicotici nella sindrome da delezione del cromosoma 22.
1 ha pensato a “Sindrome da delezione cromosoma 22: dedicato uno Studio OPBG”