Coronaropatia: quali sono le cellule che aumentano il rischio di svilupparla
Un nuovo studio getta luce sul ruolo dei fattori di rischio genetici e sulle cellule coinvolte nello sviluppo della coronaropatia....
Un nuovo studio getta luce sul ruolo dei fattori di rischio genetici e sulle cellule coinvolte nello sviluppo della coronaropatia....
Le biomolecole contenute nel pompelmo possono promuovere la salute, prevenire e curare le malattie cardiovascolari. Uno studio apre le porte...
Valutare numero e forma delle cellule endoteliali in circolo potrebbe essere indicativo, ma servono ulteriori studi Eric Topol, direttore dello...
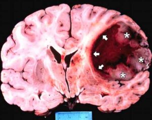
Grazie a scienziati italiani e' stata scoperta' l''arma segreta' di uno tra i tumori piu' aggressivi, il glioblastoma, cancro al...
Un gruppo di ricercatori del Weill Cornell Medical College ha sviluppato un metodo per trasformare cellule staminali embrionali e cellule...
Microscopiche particelle magnetiche sono state utilizzate per portare le cellule staminali nei posti in cui e' stato riscontrato un danno...