Tumori: scoperti due nuovi biomarcatori presenti nelle urine
Presto un semplice esame delle urine potrebbe rivelare quale sia il trattamento migliore per ogni singolo paziente affetto da tumore...
Presto un semplice esame delle urine potrebbe rivelare quale sia il trattamento migliore per ogni singolo paziente affetto da tumore...
Nel suo studio lo scienziato punta l’attenzione su un gruppo di molecole chiamate ROS e sul ruolo cruciale degli antiossidanti...
Battezzata clerocinesi, è una divisione durante la quale le cellule vanno incontro all'ordinata separazione dei cromosomi nella mitosi, ma senza...
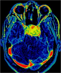
Ricercatori dell'Accademia Sahlgrenska dell'Università di Göteborg hanno sviluppato uno studio modello per testare nuove tecniche di radioterapia che causano meno...
I ricercatori dell'Universita' del Kentucky, guidati da Jayakrishna Ambati, hanno scoperto nuovi dettagli sulla degenerazione maculare senile nota come atrofia...
Ricercatori francesi sono riusciti ad invertire il processo di invecchiamento cellulare ottenendo da cellule di ultra novantenni staminali "indistinguibili" da...