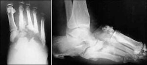
“Live Case Transmission” tra Abano Terme e Orlando – Florida: intervento di rivascolarizzazione estrema del piede diabetico trasmesso in diretta satellitare
Il collegamento in diretta si svolgerà questa sera alle 19.50 (ora italiana) in occasione del prestigioso “Complex Cardiovascular Catheter Therapeutics:...