Cellule staminali: un protocollo per migliorarne la produzione
L'introduzione in sequenza dei fattori di trascrizione usati per riprogrammare cellule mature in staminali pluripotenti indotte fornisce migliori risultati rispetto...
L'introduzione in sequenza dei fattori di trascrizione usati per riprogrammare cellule mature in staminali pluripotenti indotte fornisce migliori risultati rispetto...
''E' urgente dare a tutti la possibilita' di ricorrere alle cure del protocollo Stamina Foundation, garantendo cosi' un'uniformita' di trattatamento...
I trattamenti con cellule staminali mesenchimali effettuati con il metodo della Stamina Foundation "sono fuori da ogni norma, e l'uso...
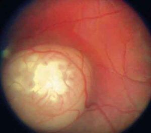
Sta dando risultati positivi il protocollo messo in atto dall'azienda ospedaliera delle Scotte di Siena per la cura del retinoblastoma,...
Raro ma aggressivo, questo tumore colpisce soprattutto i bambini Si guarisce quasi sempre e ora si punta a preservare la...
Nuovo protocollo chirurgico per la protesi d'anca: dopo cinque giorni si va a casa, senza necessità di una lunga fisioterapia...